
近年では部活でのケガを放置しすぎで後遺症や事件になってマスコミの報道で取り上げられています。
確かに重症なケガなどでなければ病院には通わないで大丈夫と勘違いしますが、一時的な感覚で判断してはいけません!
筋肉や靭帯・骨にストレスを溜めると骨折や肉離れ・靭帯損傷などを誘発してしまいます。
本来、身体の持っている自然治癒力は悪い習慣にも連動し働くということを覚えておいてください。
将来の自分=現在の自分

将来もプロでプレーしたい!違う形でも続けたい!漠然と今やっているといったいろいろな理由はあると思います。どのような形であれ当院では将来の患者さんの現在と未来を大切に考えて治療をしていきます。だから卒業があるのです。
今回は膝の疾患です!!
成長期の骨は柔らかく自然治癒力は高いので、重要な疾患を見落としやすいのです。治りが速いので大丈夫だと本人も周りの人も思うのですが骨が成長するためには個人差にゆり20歳前まで骨端線という全身の関節の骨の接合部近くに線がはいっています。
この骨端線付近に付く靭帯や筋肉が骨を引っ張るときに骨が損傷し欠けることがあります。また軟骨も同じく剥がれやすいのです。

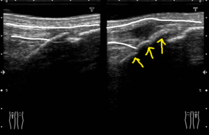
膝の疾患では「オスグッド病」になる方が多くあります。この疾患は急な成長が起きた時に、練習や試合のスケジュールが過密になると誰にでも起きます。本人でも確認できるので運動時の痛みがない段階でも圧迫して痛みがある場合では、練習を控えたり太ももの前面のストレッチやマッサージを継続することで症状の深刻になることを防げます。成長が止まる時期には症状が落ち着くことが多いのですが、はがれた軟骨部が骨化して炎症が続く場合は手術にて骨片を取り除くこともあります。

当院ではエコーにて上記の図のような画面で鑑別します。現在の状況を説明し治療を行いますので安心してください。並行して運動療法などの指導・サポーター使用時の注意事項等の説明も行います。
その他のスポーツでのケガ・障害も当院にご相談ください。



